Skip to main content

Mallory Hackett

By Mallory Hackett | 01:11 pm | September 29, 2021
The most common arrhythmias detected were premature atrial contractions, premature ventricular contractions, atrial tachycardia and nonsustained ventricular tachycardia.
By Mallory Hackett | 03:09 pm | September 28, 2021
Providers can use SimpleSense to remotely triage cardio, pulmonary and upper vascular patients.  
By Mallory Hackett | 01:31 pm | September 27, 2021
The calculator shows the estimated number of COVID-19 infections during the testing period, how much testing will cost per person and the number of potential false positives.
By Mallory Hackett | 12:18 pm | September 24, 2021
The Apple Fitness+ platform offers 11 different workout styles from high-intensity interval training to yoga.
By Mallory Hackett | 11:56 am | September 23, 2021
The company’s stock took a nosedive yesterday after it filed an SEC document.  
By Mallory Hackett | 12:51 pm | September 22, 2021
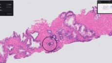
Paige Prostate analyzes digitized biopsy slides and identifies areas that could be cancerous for the pathologist to review further.
By Mallory Hackett | 12:59 pm | September 20, 2021
CareFirst pitches CloseKnit as a way to close healthcare gaps, especially those for primary care.
By Mallory Hackett | 12:43 pm | September 17, 2021
The company created a cloud-based platform that harnesses the power of brain data.
By Mallory Hackett | 12:40 pm | September 16, 2021
Urinary tract infections are the most common form of outpatient infections in the U.S., with more than half of adult women experiencing at least one in their lifetime.   
By Mallory Hackett | 12:39 pm | September 15, 2021
Elvie has partnered with a number of durable medical equipment providers to ensure customers get their breast pumps covered by insurance.